Dental Crowns
Repairing broken and damaged teeth at our dental practice in Burton on Trent.
For many years, dentists from all over the world have used dental crowns to repair badly damaged or broken teeth. Whilst a standard filling may be able to repair teeth that are broken or damaged only to a small extent, filling one that has been badly damaged or severely decayed is likely to cause it to be significantly weaker and may lead to further breakage.
In cases where damage or decay is significant, a dental crown is generally used to restore the strength and integrity of the patient’s tooth.
What is a dental crown?
A dental crown is usually made from porcelain or ceramic, sometimes backed by a metal base to give it additional strength. They are made at a dental laboratory based on impressions and x rays to ensure a perfect fit for that particular patient.
What is the Procedure?
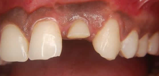
When it has been determined that a crown is needed, the damaged tooth will be prepared by removing any decay and sharp edges and will then be smoothed into a shape suitable to seat the crown.
The case below shows preparation of the tooth with inadequate tooth structure so it is suitable to add a crown.

Impressions and sometimes x rays or scans are then taken which are sent to the laboratory for the crown to be made. This process can take two weeks and, to protect the prepared tooth in the interim, you are likely to be given a temporary crown to wear. This will not be as strong as the permanent crown and care should be taken when eating.
Once the crown has been produced and returned to our Burton dentist, you will be recalled and the temporary crown removed. The new crown will then be attached using dental cement to hold it firmly in place.
Once fitted, a dental crown should last for many years under normal use. However, if a crown does become detached, it is often possible for the dentist to simply re attach it again. We have encountered some strange situations where patients have tried to re-seat a detached crown themselves but this should not be attempted as more damage can be caused. Please contact us immediately for professional dental help.
Other uses for a dental crown
Although most commonly used on broken or badly damaged teeth, dental crowns are also used as part of a root canal procedure. A root procedure involves the removal of the inner decayed core of a tooth which leaves it significantly weakened. To make the tooth stronger, a crown is usually attached to complete the procedure.
Dental crowns are also used following the fitting of a dental implant, a procedure which is growing in popularity all the time.
If you have suffered a broken tooth that is in need of repair, please call SG Dental on 01283 845345.

We offer our new patients a comprehensive twelve point dental health check


